Ultrasonografi Payudara
Ultrasonografi payudara adalah teknik pencitraan umum lainnya yang digunakan untuk menyaring payudara untuk tumor dan kelainan lainnya.
Ultrasound menggunakan gelombang suara frekuensi tinggi untuk menghasilkan gambar detail payudara.
Yang mana mereka TIDAK menggunakan radiasi dan AMAN untuk wanita hamil dan ibu menyusui.
Ultrasonografi payudara bukan alat skrining untuk mendeteksi kanker payudara, melainkan digunakan sebagai tambahan untuk mamografi payudara.
Ultrasonografi payudara menggunakan probe genggam yang digerakkan di sekitar payudara oleh ahli radiografi untuk mengidentifikasi adanya kelainan, namun pelaporan tergantung pada pengalaman ultrasonografer

Keuntungan dari USG payudara
- Dapat membedakan cairan dari massa padat
- Jaringan payudara bisa terlihat lebih baik pada mamografi payudara yang padat
- Dapat menggambarkan bentuk dan margin massa payudara
- Dapat mengambil sampel cairan atau jaringan dari massa payudara melalui biopsi yang dipandu USG
- Dapat dilakukan lebih teratur, jika perlu
- Dapat mengevaluasi penyebab gejala payudara umum seperti pembengkakan dan nyeri
Keterbatasan USG payudara
- Tidak dapat mengidentifikasi mikrokalsifikasi dini yang mungkin merupakan kanker payudara dini yaitu DCIS yang lebih baik terlihat pada MMG
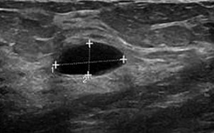
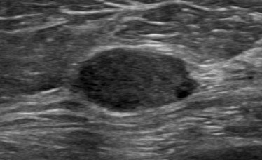
Gambar USG payudara menunjukkan perbedaan antara benjolan jinak dan kanker


Benjolan payudara jinak - dengan margin oval dan terdefinisi dengan baik (permukaan halus seperti anggur)


Benjolan payudara kanker - menunjukkan margin tidak teratur dan tidak jelas (permukaan tajam dan tidak teratur seperti durian)
Secara keseluruhan, karena MMG dan US payudara memiliki kelebihannya masing-masing, digabungkan bersama itu akan menguntungkan wanita di atas 40 dengan payudara yang padat mamografi.
Gambar Ultrasonografi Payudara menunjukkan antara massa kistik (berisi cairan) dan padat

Kista Payudara - lebih banyak penampilan "hitam" untuk mengisyaratkan bahwa cairan itu berisi cairan

Kista Kompleks Payudara - menunjukkan kandungan padatan dan kistik (berisi cairan) campuran

Payudara padat dengan margin tidak teratur - untuk menunjukkan massa payudara yang mencurigakan.
Alat Skrining Kanker Payudara: Mammogram atau Ultrasound?
Kejadian kanker payudara meningkat di Malaysia dan di seluruh dunia.
Untuk mendeteksi kanker payudara dini, wanita di atas 40 tahun dianjurkan untuk melakukan skrining payudara setiap tahun atau dua tahun sekali.
Mammogram dan USG adalah alat pencitraan yang paling umum dan hemat biaya yang digunakan untuk mendeteksi kanker payudara.
Mammogram adalah alat skrining primer standar emas untuk wanita tanpa gejala yang telah ditetapkan sejak 1960-an sementara USG payudara adalah alat investigasi tambahan tambahan yang digunakan bersama dengan mammogram untuk mendeteksi kanker payudara.
Ultrasonografi payudara dan mamografi adalah 2 modalitas pencitraan yang berbeda dengan fungsi dan manfaat yang berbeda. Karenanya, USG payudara saja tidak menggantikan mammogram atau sebaliknya.
Dosis radiasi mammogram sangat kecil dan bermanfaat jika deteksi kanker payudara dini melebihi jumlah radiasi yang kecil
Manfaat Mammogram
MMG dapat mendeteksi titik-titik kecil mikrokalsifikasi yang terlihat pada kanker payudara sangat dini yang tidak teraba secara klinis atau terdeteksi pada USG payudara.
