Mamografi
Mamografi adalah modalitas pencitraan utama untuk deteksi dini kanker payudara. Mamografi dapat mendeteksi kanker 2-4 tahun sebelumnya sebelum kanker terbukti secara klinis. Ada banyak kemajuan baru dalam mamografi yang dibuat selama bertahun-tahun untuk meningkatkan kualitas gambar serta mengurangi dosis radiasi untuk memberikan diagnosis dini penyakit payudara, penilaian yang lebih akurat tentang tingkat penyakit dan meningkatkan deteksi kekambuhan.

skrining mamografi digunakan untuk mendeteksi kanker payudara pada wanita yang tidak memiliki tanda atau gejala penyakit
Pandangan Mamografi
Ini melibatkan pengambilan rontgen payudara dalam 2 tampilan setiap tahun atau dua tahun sekali mengikuti pedoman yang direkomendasikan.
- Tampilan MLO (medial lateral oblique view)
- Tampilan CC (cranial-caudal view)
Dosis radiasi yang sangat kecil digunakan dan risiko bahaya dari paparan radiasi ini rendah.

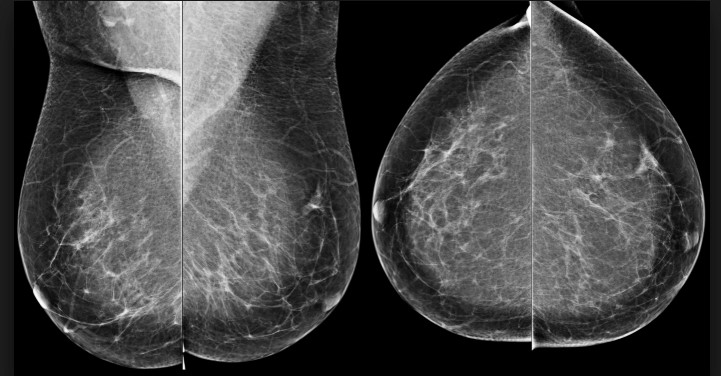
MMG – pandangan MLO MMG – pandangan CC

MMG – pandangan CC MMG –pandangan MLO
Laporan Kepadatan Payudara dan Mamografi
Wanita muda dan wanita dari etnis Asia diketahui memiliki payudara yang padat.
Kepadatan payudara disebabkan oleh payudara yang memiliki lebih banyak jaringan berserat dan kelenjar dan lebih sedikit jaringan lemak di payudara.

Payudara padat - lebih "putih"
Payudara berlemak - lebih "hitam" pada MMG
Abnormalitas pada Mamografi
Setiap area yang mencurigakan dan tidak terlihat seperti jaringan payudara normal misalnya
- Area opacity yang signifikan, peningkatan kepadatan
- Titik / bintik putih kecil dalam kelompok yang dikenal sebagai sertifikasi mikro
- Marjin massa yang tidak teratur, tidak jelas, dan bercabang
- Hilangnya arsitektur payudara normal.


Massa yang mencurigakan akan lebih terlihat baik pada payudara yang kurang padat daripada payudara yang lebih padat
Keterbatasan Skrining Mammogram
Skrining mammogram juga tidak 100% akurat dalam mendeteksi kanker.
Sekitar 15% dari laporan skrining dapat menjadi false negatif atau false positif yang mengakibatkan kecemasan yang tidak perlu pada pasien
Panduan untuk laporan Mamografi - memahami klasifikasi BIRADS
BI-RDAS adalah singkatan untuk pelaporan pencitraan payudara dan sistem data.
Sistem ini dibuat untuk membantu ahli radiologi atau dokter pelapor untuk mengkategorikan massa dan berkomunikasi dengan dokter atau ahli bedah mengenai temuan mamografi.
Kesimpulan dari laporan mamografi akan memiliki penilaian BIRADS.
Kategori BIRADS
- Birads 0: berarti penilaian yang tidak lengkap dan investigasi lebih lanjut dengan USG payudara diperlukan untuk memberikan informasi lebih lanjut untuk memastikan diagnosis.
- Birads 1: Temuan negatif berarti tidak ada kelainan mencurigakan yang ditemukan. Payudara jelas.
- Birads 2: Temuan jinak seperti massa berbentuk oval yang terdefinisi dengan baik, makrokalsifikasi tersebar, kalsifikasi vaskular
- Birads 3: Massa mungkin jinak, temuan tegas. Disarankan tindak lanjut dekat pada 6 bulan dan / atau dengan investigasi lebih lanjut seperti USG payudara.
- Birads 4: Kelainan yang mencurigakan dan tidak tentu di mana risiko kanker lebih tinggi dari 60%. Investigasi lebih lanjut dengan USG payudara dan biopsi jaringan diperlukan untuk mengesampingkan kemungkinan keganasan.
- Birads 5: Kemungkinan keganasan yang sangat tinggi di mana biopsi jaringan sangat disarankan untuk memastikan diagnosis. Temuan khusus dari presentasi kategori 5 adalah mikrokalsifikasi ganas, distorsi arsitektur, margin yang tidak jelas dan tidak teratur, massa terspikulasi
- Birads 6: Kanker yang dikonfirmasi dari biopsi jaringan
Tautan Referensi (dalam Bahasa Inggris):
- https://breast-cancer.ca/bi-rads/
- https://www.cancer.org/cancer/breast-cancer/screening-tests-and-early-detection/mammograms/understanding-your-mammogram-report.html
