Fibroadenoma
Fibroadenoma adalah kondisi payudara jinak yang sangat umum didiagnosis pada kebanyakan wanita.
Benjolan biasanya keras dan padat untuk disentuh dan memiliki permukaan yang halus. Bergerak dan mudah bergerak di bawah kulit sehingga sering disebut payudara tikus.
Fibroadeoma biasanya terbentuk di dalam lobulus payudara dan berkembang karena perubahan hormon pada wanita selama siklus menstruasi. Fibroadenoma biasanya tidak menimbulkan rasa sakit tetapi mungkin lunak atau sensitif sebelum atau selama menstruasi.
Fibroadenoma yang terbukti dengan biopsi dipastikan jinak dan tidak akan meningkatkan risiko kanker payudara. Fibroadenoma dapat menurun atau bertambah ukuran seiring waktu. Kekambuhan benjolan payudara jinak dapat terjadi bahkan setelah pengangkatan. Dianjurkan untuk melakukan skrining tahunan
Namun, beberapa benjolan payudara seluler padat lainnya dapat menyerupai presentasi klinis fibroadenoma misalnya tumor filumida dan ini mungkin memiliki peningkatan risiko kanker payudara.
Jenis-jenis Fibroadenoma
- Simple Fibroadenoma - fibroadenoma paling sederhana berukuran sekitar 1 – 3 cm
- Fibroadenoma Raksasa / Remaja - benjolan dapat tumbuh hingga ukuran lebih dari 5 cm dan umum ditemukan pada remaja.
Investigasi
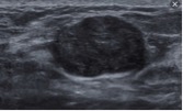
- Ultrasonografi (USG) Payudara - akan menunjukkan bentuk oval margin padat dengan baik
- FNAC (Sitologi jarum halus)
- iopsi Inti / Trucut US yang dipandu
Pengelolaan
Sebagian besar fibroadenoma yang terbukti dengan biopsi dapat dibiarkan sendiri, tetapi beberapa wanita lebih suka diangkat melalui pembedahan karena kadang-kadang, dapat meningkatkan ukuran.
Operasi
Biopsi eksisi (pengangkatan bedah terbuka)

Fibroadenoma (ukuran 4cm) dihilangkan melalui sayatan periareolar <arrow> (Sayatan dibuat di sekitar batas puting-areolar margin)
Biopsi payudara berbantuan vakum (VABB)
Benjolan payudara diangkat dalam potongan jaringan melalui jarum bor besar dari VABB


